Pinhole® Gum Rejuvenation™ in White Rock, BC
Pinhole® Gum Rejuvenation™ Near You
Fortunately, thanks to new advancements in the dental field, this can be addressed with the pinhole surgical technique. We utilize this approach here at RA Dental to keep our patients comfortable and help them achieve the results they deserve. For more information, contact one of our dentists near you.

How Does It Work?
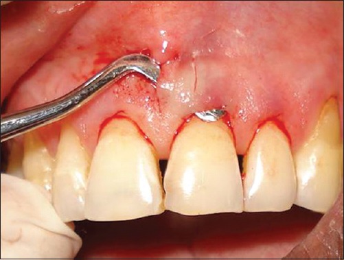
- Creating a tiny hole in your gum where the recession is, about the size of a pin.
- Special dental tools are used to gently loosen and then reposition the gum tissue over the exposed roots.
- Collagen strips are added to help stabilize and protect the area and encourage healing.
And that’s it! Inform our dentist in White Rock, BC if you have any concerns or inquiries about this.
Why Consider the Pinhole Technique?
- Minimally Invasive: No large incisions or stitches are required.
- Quick Recovery: Most people heal within a few days of getting the procedure instead of weeks.
- Instant Results: You’ll be able to notice a difference after your treatment.
- Less Discomfort: Less pain, swelling, and bleeding compared to traditional gum grafts.
- Can Treat Multiple Teeth: Dentist are able to address widespread recession with this technique.
Things to Know

Advanced Gum Rejuvenation with the Dental Vista Technique in White Rock, BC
The Dental Vista technique is a minimally invasive method used to enhance gum health and aesthetics by gently lifting and repositioning the gum tissue without extensive surgery. It’s designed to improve smiles while reducing discomfort and recovery time. At RA Dental, Dr. Mario specializes in performing the Dental Vista technique with precision and care, helping patients achieve natural-looking results. We’re proud to offer this advanced treatment right here in White Rock, BC, for healthier gums and a more confident smile.
Visit Us Today
Give your gums the care they deserve. Book a consultation with a staff member at RA Dental for more information about getting the pinhole technique near you. We look forward to working with you and treating your smile so you can enjoy it without any issues.
Find us easily on the Google map and plan your visit today!
